Tratamientos 2025
¡En este 2025 seguimos firmes en nuestro compromiso de ofrecerte la máxima calidad y servicio excepcional que nos caracterizan! Nuestra misión es tu bienestar y por eso, te brindamos el mejor tratamiento posible, siempre a la vanguardia.
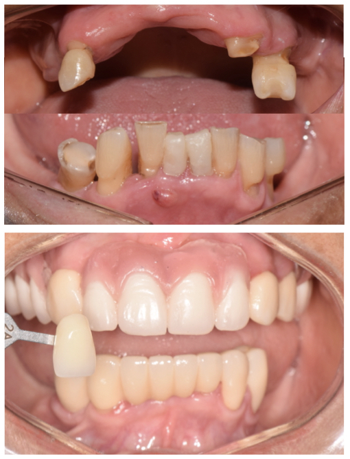
Prótesis Combinada
Tratamiento de rehabilitación oral combinando coronas fijas y puentes con prótesis removibles, mejorando la estética de los dientes con carillas cerámicas.
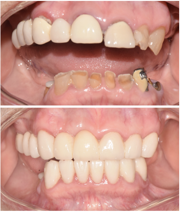
Aumento de Mordida con Prótesis
Paciente deseaba una sonrisa donde sus dientes se notaran más. Logramos esto aumentando la altura de sus muelas (dientes posteriores). Esto creó el espacio extra necesario en la parte delantera para poder colocar dientes frontales más grandes y visibles.
Desgaste severo
Tratamiento de rehabilitación oral con coronas fijas con incremento y alineación de la mordida.
La Especialidad de Rehabilitación Oral, es una área especializada de la Odontología enfocada en realizar tratamientos integrales mediante implantes, carillas, coronas cerámicas libres de metal e incrustaciones y prótesis removibles parciales o totales, devolviendo la función masticatoria perdida y la estética.
Bienvenidos!!
Dr. Henrry Cardenas
Prostodoncista, Especialista en Rehabilitación Oral y atención al adulto mayor, Magister en Implantología, Cirujano Dentista.
Dentista colegiado por el COP: 37459
Registro Nacional de Especialista (RNE): 3150
Registro Nacional de Magíster (RNM): 0197
El Dr. Henrry Cardenas es un Cirujano Dentista con estudios de Posgrado en el servicio de Rehabilitación Oral y estética de la Universidad Nacional Mayor de San Marcos. El Dr. Henrry Cardenas logra resultados extraordinarios para sus pacientes mediante técnicas especializadas con excelentes materiales odontológicos de alto valor.